Vertebroplasty
Minimally invasive, image-guided procedure used to stabilize weakened vertebrae and provide rapid pain relief
What Is It?
Vertebroplasty is a minimally invasive, image-guided procedure used to stabilize weakened vertebrae and provide rapid pain relief. It consists of injecting medical-grade bone cement (PMMA) into the vertebral body, restoring mechanical strength and reducing micromovements responsible for pain.
Indications
-
Osteoporotic vertebral compression fractures
-
Vertebral metastases and multiple myeloma
-
Painful vertebral lesions refractory to medical therapy
- Impending or established pathological fractures
Role in Interventional Oncology
In oncologic patients, vertebroplasty is not only a stabilization technique. It is frequently combined with tumor ablation (radiofrequency, microwave, cryoablation) to:-
Achieve local tumor debulking
-
Improve pain control
-
Stabilize the vertebra after tumor destruction
- Reduce the risk of further collapse
This combined approach allows a more effective and durable local treatment, integrated within the overall oncologic strategy.
Integration with Systemic Therapies and Radiotherapy
Vertebroplasty complements chemotherapy, targeted therapies, immunotherapy and radiotherapy by providing immediate pain relief and structural stability, facilitating continuation of systemic treatments and improving patient functional status.Procedure
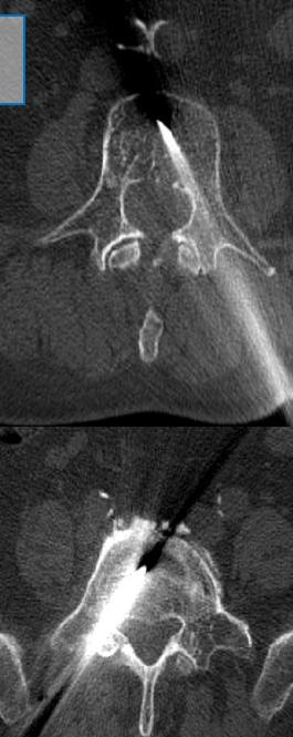
The procedure is performed under conscious sedation (local anesthesia with intravenous analgesia and mild sedation) or, in selected cases, general anesthesia.-
Percutaneous access through the pedicle under CT or fluoroscopic guidance
-
Precise needle positioning within the vertebral body
- Controlled injection of bone cement with real-time monitoring
- Excellent pain control during the procedure
- Continuous patient cooperation and neurological monitoring
- Faster recovery and reduced anesthetic risk
The procedure typically lasts less than one hour, with a short hospital stay (usually 24 hours).
Benefits
Rapid and significant pain relief
Immediate vertebral stabilization
Minimally invasive approach
- Short hospitalization
- Early return to daily activities
